Dental Implant Benefits
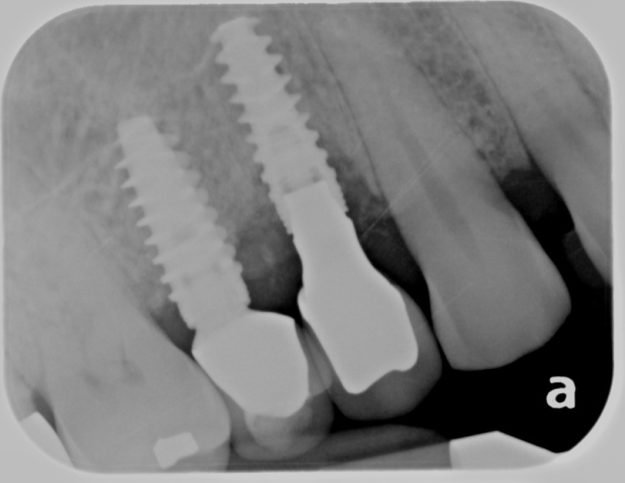
Missing teeth affect your smile, bite, and overall health. When possible, dental implants are the best tooth replacement option because they replace both the missing root and crown of the tooth. Fortunately, Adams and Cheek Dentistry offers implant services for our patients. What Is a Dental Implant? A dental implant is a titanium screw placed…



